ボツリヌストキシン注射で自然な目尻を
ボツリヌストキシン注射で自然な目尻を
ボツリヌストキシン注射により、お顔の筋肉の動きを弱め表情じわを改善することが
できる、という仕組みについてはかなり認知されてきた今日この頃。
と同時に「筋肉の動きを弱くしてしまったら不自然なのでは?」
「固まったような表情になるのでは?」相変わらず、美容外来でよく受ける質問ですし
皆様が一番心配に感じられるポイントだと思います。
特に「目尻」のしわはいわゆる「笑いじわ」ですから、怒った時に出る「眉間のしわ」など
とは違って、ボツリヌストキシン注射をしたことで「笑っていても笑っているように見えなく
なるのでは?」と不安に感じられるお気持ちはよくわかります。
では、「不自然」にならないために知っておきたいことを考えていきましょう。
目尻のしわを作る筋肉は?
目の周りには「眼輪筋」というその名の通り目の周りを取り囲むように繊維が走っている
筋肉があります。この筋肉は、目を閉じる時、笑う時、に使われる筋肉でこれこそが
目尻のしわを作る筋肉なのですが「しわ」というのは「筋肉の繊維の方向」と「垂直」に
表れる特徴があるので、目の周りにできるしわは目の周りを円形に取り囲む筋肉の繊維に
対して「垂直」ですから、簡単に表現するならば放射状に表れることになります。つまり
目尻のしわで言えば、真横や斜め上、斜め下、などへ向かう方向のしわができることに
なります。「カラスの足跡」とも表現される目尻のしわの形を想像してみていただくと
わかりやすいと思います。
目尻のしわのパターン
目尻のしわの大まかな形は「カラスの足跡」のような感じではあるのですが、細かく見ると
少しずつ個人差があることがわかります。例えばしわが出る部分で分けると
上まぶたから上頬の辺りまで広くしわが出るタイプ、上の方にだけ出るタイプ、
下の方にだけ出るタイプ、真横にだけ出るタイプ、などです。
また、同じようにしわが下に出るタイプの中でも、欧米人のように頬の広い範囲に出る人も
いれば比較的アジア人に多い、目元にだけ出る人もいます。
また、しわの深さにも個人差がありますし、そもそも笑った時にだけしわが出る人もいれば
笑っていなくてもしわが刻まれている人もいます。
目尻の注射の仕方
では、目尻にボツリヌストキシン注射をする場合にどのような「気をつける」ポイントが
あるのでしょうか。
①注射する薬液の種類
通常、ボツリヌストキシン注射はその量を「単位」と表すのですが、1単位当たりの強さ
(つまり、しわの取れやすさ)は各メーカーの商品によって異なります。
例えばA社のボツリヌストキシン注射の1単位で出せる効果と、B社のボツリヌストキシン
注射1単位で出せる効果には差があります。皆様がおそらくよく耳にされている
「ボトックス」も総称ではなく、あくまでもアラガン社のボツリヌストキシン注射の
商品名でしかないので、仮に以前にどこかのクリニックさんで「ボツリヌストキシン注射を
10単位注射したから今回も同じ10単位にしてもらおう。」と考えておられたとしても
どの会社のどの商品を10単位だったのかによって、話は大きく変わってきます。
極端な場合は、同じ単位数でも効き目の差が2倍くらい違ってしまうこともあります。
②注射する薬液の濃度
ボツリヌストキシン注射は、医療機関に納入される段階では「粉状」です。これを
注射を行う直前に生理食塩水に溶かして液体状にして皆様のお顔に注射しています。
この「溶かし方」もクリニックによって差があります。
仮に〇〇クリニックでは、目尻にA社のボツリヌストキシン10単位を注射している、
⬜︎⬜︎クリニックでは、目尻にA社のボツリヌストキシン10単位を注射している、
一見全く同じことをしているように思われるかもしれませんが、例えば〇〇クリニックでは
10単位を1ccの生理食塩水に溶かしていた、⬜︎⬜︎クリニックでは10単位を2ccの
生理食塩水に溶かしていた、という場合には同じ10単位を注射したとしても
やはり効果に差が出ます。
③注射をする深さ
一般的に、ボツリヌストキシン注射は「筋肉」の動きを弱める目的で打つものですから
いわゆる「筋肉注射」が普通です。ですが、顔の部位によって皮下脂肪が薄く筋肉が
比較的皮膚に近い浅い部分にある場合、逆に皮下脂肪が厚く筋肉が比較的皮膚から
遠い深い部分にある場合、また人によっても皮下脂肪が多い・少ない、なども差が
ありますし、そもそも筋肉自体の大きが大きかったり小さかったり、分厚かったり
薄めだったり、個人差があります。
ですから、一言で「筋肉注射」と言っても、どれ位の深さに注射をするかで、効果の出方に
差が生まれます。また最近では、あえて筋肉ではなくもっと浅い皮膚の中に注射をして
じわじわと拡散させる注射の仕方を選択することもありますから、注射をする深さの
選択もしわ取り効果に差を生む要因となります。
④薬液の分割の仕方
これまで述べてきた①薬液の種類、②薬液の濃度、③注射の深さ、これらが全て同じ
だったとして、では仮に10単位を10箇所に分けて1単位ずつ注射するのか、5箇所に
わけて2単位ずつ注射するのか、また同じように分割したものでも、全体的に満遍なく
等間隔で注射するのか、しわの多い部分に集中させて注射するのか、それによっても
しわ取り効果は異なります。
これだけ注射時に気をつけるポイントがある上、単純に注射の総量が多かったか
少なかったかでも効果に大きな差が出ますから、目尻のしわについても「自然」にも
「不自然」にも如何ようにもできる、と思っていただくとよいと思います。
また「自然」「不自然」という概念もかなり主観的なものですので、どなたも「自然が良い」と
思っておられるかもしれませんが、実際はかなり「不自然」が好みという方も
いらっしゃいますし、逆にごくわずかの変化を「不自然」と捉え嫌う方もいらっしゃいます。
目尻の注射の副作用
では、目尻の注射を行った際に考えられ得る副作用にはどんなものがあるのでしょうか。
ボツリヌストキシン注射は筋肉を弱める注射ですから、「弱めても支障のない筋肉」
「弱めると支障のある筋肉」を区別しなければなりません。
例えば目の周りには、目を取り囲むようにあり目を閉じたり笑ったりする時に使用する
「眼輪筋」の他に、目の球自体を上下左右に動かす筋肉や、まぶたの上げる筋肉、
口角を上げて笑顔を作る筋肉など、実は色々な筋肉が存在しています。
目尻の眼輪筋の一部が弱くなっても日常生活に支障はありませんが、目の球を動かせなく
なってしまったり、まぶたが持ち上がらなくなってしまったり、口角を上げて笑えなく
なってしまっては困りますよね。
このような、力が弱くなると支障をきたす筋肉には注射を行わないのが鉄則です。
また、そのような筋肉に直接注射を行っていなくても、薬液は四方八方に広がる性質が
ありますから、あくまでも眼輪筋にのみ注射を行っていても薬液の拡散により想定外に
効かせたくない別の筋肉に効果が出てしまう恐れもあります。
ですから「しわがあるどの部分にでもボツリヌストキシン注射ができる」わけではない
ということを知っておかなくてはいけません。勿論、どの程度薬液が広がるかを
予測した上で注射位置は決定されます。
実際の症例
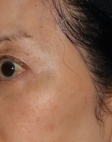
<50代女性>
目尻のしわが気になる。最近では笑っていなくても少ししわが刻まれているのが悩み。
とはいえ注射は、笑顔が不自然にならない程度にしておきたい。
(注射前 笑っていない状態)

(注射後 笑っていない状態)

刻まれたしわは未だ深くはありませんが、注射後改善しているのがわかります。
では、笑った時の変化はどれくらいあったのでしょうか。
(注射前 笑った状態)

広範囲に笑いじわが見られます。
(注射後 笑った状態)

こちらは、上から下まで全体的にしわが出る方の平均量の1/3くらいの量を
注射しました。特に細く分割はせず、平均的な部位に注入しましたが1/3量でも
効果が出ているのがわかります。但し、一番深いしわが少し残っています。
(注射後 笑った状態)

因みにこちらは、別の機会に平均量の1/2くらいの量を注射したものです。
1/3量の時と比較すると、一番深いしわがよく取れているのがわかります。
この症例からもわかるように、ボツリヌストキシン注射の投与量をわずかに増減する
だけでもこれくらいの差が出ますし、自然に仕上げることが可能です。
「不自然な目尻にならないために知っておきたいこと」を挙げましたが、これは決して
ボツリヌストキシン注射の「量」「濃度」「分割の仕方」などを患者様方各々が把握して
おかなければいけない、などということではありません。
皆様がそれらを正確に記憶することは大変だと思いますし、誤解をしたまま記憶して
しまうと、むしろ自然な仕上がりから遠ざかってしまいます。
大切なのは、注射の仕方によって自然にも不自然にもなり得るをいうことを知って
いただき、信頼できる主治医を見つけたらなるべく、あちこちのクリニックを
渡り歩くのではなく、同じ主治医にご自身の好みの注射の仕方を見つけてもらい
常に比較検討してもらうのが一番だということです。
ボツリヌストキシン注射を継続していると、刻まれていたしわが浅くなってくることが
あります。逆に、しばらく放置していると加齢に伴いしわが深くなることもあります。
その時点でのしわの状態に合わせて、またご自身の「好み」に合わせて
是非「自然で美しい目尻」を持続していただきたいと思います。
★富山でボツリヌストキシン注射を受けるなら★

総曲輪ビューティクリニック
富山県富山市総曲輪3-9-3
お問い合わせ、ご予約はお電話で
076-471-0734(受付時間:9:00〜17:00 日・祝のぞく)
執筆:

総曲輪ビューティクリニック 院長
佐藤 典子
形成外科専門医